맨위로가기

원발 경화 쓸개관염

"오늘의AI위키"는 AI 기술로 일관성 있고 체계적인 최신 지식을 제공하는 혁신 플랫폼입니다.
"오늘의AI위키"의 AI를 통해 더욱 풍부하고 폭넓은 지식 경험을 누리세요.

1. 개요

원발 경화 쓸개관염(PSC)은 간내 및 간외 쓸개관의 만성적인 염증과 섬유화를 특징으로 하는 만성 담즙 정체성 질환이다. 쓸개관의 협착을 유발하여 담즙 흐름을 방해하며 간 손상, 간경변, 간부전으로 이어진다. 정확한 원인은 밝혀지지 않았으나 자가면역 질환과 유전적 요인이 복합적으로 작용하는 것으로 추정된다. 30~50세 사이의 남성에게서 더 흔하게 발생하며, 궤양성 대장염과 같은 염증성 장 질환과 동반되는 경우가 많다. 만성적인 피로감, 피부 가려움증, 황달 등의 증상이 나타날 수 있으며, 질병이 진행됨에 따라 간경변, 간부전, 담도암 등의 합병증으로 이어질 수 있다. 진단은 혈액 검사, 영상 검사, 간 생검 등을 통해 이루어지며, 약물 치료, 내시경 치료, 수술(간 이식) 등의 치료법이 있다.

더 읽어볼만한 페이지

  • 내과학 - 감염내과
    감염내과는 복잡한 감염병에 대한 자문 및 면역 결핍 환자 관리를 담당하며, 다양한 진단 검사와 항생제 등을 통해 감염원을 파악하고 적절한 치료법을 제시하는 내과 또는 소아청소년과의 하위 분과이다.
  • 내과학 - 신경과
    신경과는 뇌, 척수, 말초신경, 근육 등 신경계 질환을 진단하고 치료하는 의학 분야로, 뇌졸중, 치매, 간질, 파킨슨병, 다발성 경화증 등을 주요 진료 대상으로 하며, 신경학적 검진과 다양한 치료를 통해 환자의 증상 완화와 기능 회복을 돕는다.
  • 간염 - B형 간염
    B형 간염은 B형 간염 바이러스 감염으로 발생하는 질환으로, 혈액과 정액을 통해 전염되며 백신 접종으로 예방 가능하고 만성화될 경우 항바이러스제 치료가 필요하다.
  • 간염 - C형 간염
    C형 간염은 오염된 혈액으로 전파되는 C형 간염 바이러스 감염 질환으로, 만성 감염 시 간경변이나 간암으로 진행될 수 있으며, 직접 작용 항바이러스제로 치료하지만 백신은 개발되지 않아 감염 경로 차단과 조기 진단이 중요하다.
  • 소화기 질환 - 식도암
    식도암은 식도 상피세포에서 발생하는 악성 종양으로, 편평상피세포암과 선암이 주된 유형이며, 진행될수록 연하곤란, 체중 감소, 흉통 등이 나타나고 흡연, 음주 등이 위험 요인으로 작용하며, 내시경 검사, 조직검사 등으로 진단하고 수술, 화학요법 등으로 치료하며 예방을 위해서는 금연, 절주 등이 중요하다.
  • 소화기 질환 - 위염
    위염은 헬리코박터 파일로리 감염, 비스테로이드성 소염제, 알코올, 스트레스 등으로 인해 위 점막에 염증이 생기는 질환으로, 상복부 통증, 메스꺼움, 구토 등의 증상이 나타나거나 무증상일 수 있으며, 급성 또는 만성으로 분류되고, 내시경 검사 등으로 진단하여 제산제, 항생제 등으로 치료한다.
원발 경화 쓸개관염
질병 정보
원발 경화 쓸개관염의 담관 X선 사진
담관 X선 사진
분야소화기학
관련 질병 데이터베이스10643
메쉬 IDD015209
일반 정보
이름 (영어)PSC; primary sclerosing cholangitis
진료과소화기내과
기간장기적 진행성
원인알려지지 않음
추가 정보
참고 문헌
참고 문헌

""
""
""

""
""
""

2. 증상

원발 경화 쓸개관염(PSC)은 쓸개즙이 흐르는 통로인 쓸개관에 점진적으로 흉터가 생기고 막히면서, 반복적으로 쓸개관염이 발생하는 것을 특징으로 한다.

PSC 환자의 약 절반가량은 특별한 증상을 느끼지 못하며, 다른 이유로 간 기능 검사를 받다가 우연히 발견되는 경우가 많다.[1] 그러나 상당수의 환자는 이 질환으로 인해 쇠약감을 유발하는 징후와 증상을 경험한다.[8]

주요 증상은 다음과 같다.


  • 피로: 특별한 원인 없이 지속되는 피로감을 느낄 수 있다.
  • 피부소양감: 심한 가려움증이 나타날 수 있다.
  • 황달: 피부의 흰자위가 노랗게 변하는 증상이다.
  • 복통: 환자의 약 20% 정도가 복통을 경험한다.
  • 간비대 및 비장비대: 영향을 받은 환자의 약 40%에서 이나 지라(비장)가 커지는 것이 관찰된다.


질병이 진행되면 다음과 같은 증상이나 합병증이 발생할 수 있다.

  • 지방 흡수 장애: 쓸개즙이 소장으로 충분히 배출되지 못해 지방 흡수에 문제가 생긴다. 이로 인해 기름기가 많은 변을 보는 지방변증이 나타나고, 비타민 A, 비타민 D, 비타민 E, 비타민 K와 같은 지용성 비타민 결핍이 발생할 수 있다.
  • 검은 소변: 과도한 빌리루빈이 신장을 통해 배설되면서 소변 색깔이 짙어질 수 있다.
  • 상행성 쓸개관염: 쓸개관 배출 장애로 인해 세균 감염 위험이 높아져, 생명을 위협할 수 있는 급성 담관염이 반복적으로 발생할 수 있다.[9]
  • 간경화 및 합병증: 병이 심해져 간경화로 진행되면 문맥압항진증이 발생할 수 있다. 이는 식도 정맥류, 복수(배에 물이 차는 현상), 간성뇌증(간 기능 저하로 인해 암모니아 등 독성 물질이 뇌에 영향을 미쳐 발생하는 의식 변화 또는 혼수 상태) 등의 심각한 합병증으로 이어질 수 있다.[10]


전반적으로 폐쇄성 황달에서 나타나는 전신 권태감, 가려움증, 황달 등의 증상이 나타나며, 쓸개즙이 정체되는 담즙 울체는 결국 간 기능 부전으로 이어질 수 있다.

3. 원인

원발 경화 쓸개관염의 정확한 원인은 아직 밝혀지지 않았으며, 발병 기전 역시 명확하게 이해되지 않았다.[1] 이 질환은 자가면역질환으로 여겨지기도 하지만, 면역억제제 치료에 뚜렷한 반응을 보이지 않는 경우가 많다. 이 때문에 많은 전문가는 원발 경화 쓸개관염을 단순한 자가면역 문제로 보기보다는, 면역 체계를 포함한 여러 요인이 복합적으로 작용하는 다인자성 질환이거나, 혹은 여러 다른 간담도 질환을 포괄하는 개념일 수 있다고 본다.[11][12]

최근 연구에서는 다음과 같은 점들이 주목받고 있다.

# 장 내 미생물군과 원발 경화 쓸개관염 사이의 중요한 연관성[13][14][15]

# 질병 발생 과정에서 세포 노화 및 '노화 관련 분비 표현형'(SASP, Senescence-Associated Secretory Phenotype)이라 불리는 과정의 역할 가능성[16][17]

또한, 원발 경화 쓸개관염과 특정 사람 백혈구 항원(HLA) 대립 유전자(A1, B8, DR3) 사이의 연관성은 오래전부터 알려져 왔다.[3]

4. 병리 생리학

원발 경화 쓸개관염(PSC)은 쓸개관(담관)의 염증(담관염)을 특징으로 하는 질환이다. 이 염증으로 인해 쓸개관 내외부에 손상이 생기고, 결과적으로 흉터가 형성되면서 쓸개관이 좁아지며(협착) 딱딱해진다(경화증). 이러한 변화는 간 내부 또는 외부에 있는 쓸개관 모두에서 나타날 수 있다.[18]

쓸개관에 생긴 흉터는 쓸개즙의 정상적인 흐름을 방해하여 쓸개즙정체를 일으킨다. 쓸개즙이 제대로 흐르지 못하고 고이면 간의 상피세포와 유조직이 파괴된다.[50] 쓸개즙 흐름이 만성적으로 막히고 기능이 저하되는 상태(쓸개즙정체)가 지속되면, 진행성 쓸개관 섬유증으로 이어지고 결국 쓸개관성 간경화 및 간부전을 유발할 수 있다.[19][50]

쓸개즙은 장에서 지방의 분해와 흡수를 돕는 중요한 역할을 한다. 따라서 쓸개즙 분비가 원활하지 않으면 지방 흡수에 문제가 생기고, 지용성 비타민(A, D, E, K)의 결핍이 나타날 수 있다.[20][50]

또한, 몸 중심부에 가까운 쪽(근위부)의 경화된 간내 쓸개관이 문맥을 압박하게 되면 간이 비정상적으로 커지는 간 비대가 발생할 수 있으며, 이로 인해 우측 상복부에 통증을 느끼기도 한다.

5. 진단

원발 경화 쓸개관염(PSC)은 다른 원인에 의한 경화성 담관염 가능성을 배제한 뒤, 다음 세 가지 임상 기준 중 최소 두 가지를 만족할 때 진단한다.


  • 혈청 알칼리성 인산분해효소(ALP) 수치가 6개월 이상 정상 상한치의 1.5배를 초과하는 경우
  • 담관 조영술에서 PSC에 부합하는 담관의 협착이나 불규칙성이 관찰되는 경우
  • 간 생검 결과가 PSC 소견과 일치하는 경우 (가능한 경우)


진단을 위해 다양한 검사가 시행된다.

'''영상 진단'''

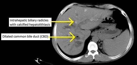
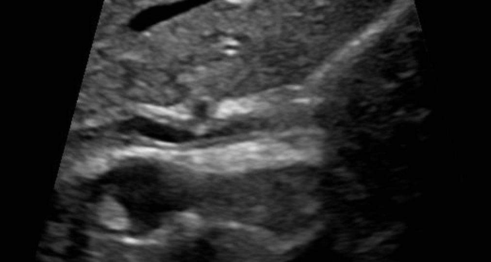
과거에는 주로 내시경 역행 쓸개이자조영(ERCP)을 통해 담관을 촬영했다. ERCP에서는 간 안팎의 담관이 염주 모양(좁아짐과 넓어짐이 반복되는 형태)으로 보이는 특징적인 소견이 나타난다. 그러나 ERCP는 침습적인 검사이다. 현재는 비침습적이면서도 정확도가 높은 자기 공명 쓸개이자조영(MRCP)이 진단적 담관 조영술에 선호되는 방법이다. MRCP는 자기 공명 영상(MRI) 기술을 이용하며, 공간 해상도가 높아 미세한 담관 구조까지 시각화할 수 있다.[21] 복부 초음파 검사나 컴퓨터 단층 촬영(CT)도 보조적으로 사용될 수 있다.

CT 스캔으로 확인한 원발 경화 쓸개관염 사례


총담관의 초음파 영상


'''혈액 검사'''

혈액 검사에서는 간 기능 수치를 확인한다. 주요 검사 항목은 다음과 같다.

  • 알칼리성 인산분해효소(ALP): 수치 상승은 중요한 진단 기준 중 하나이다.
  • 빌리루빈
  • 감마 글루타밀 전이효소(γ-GTP 또는 GGT)
  • 자기항체: PSC 환자 대부분에게서 발견되지만, 특정 항체가 PSC 진단에 결정적인 것은 아니다.[22]
  • * 핵주위 항호중성백혈구세포질항체(p-ANCA): 환자의 약 80%에서 발견되나, PSC에 특이적이지는 않다.
  • * 항핵항체(ANA) 및 항평활근항체(ASMA): 환자의 20~50%에서 발견되며, 이 역시 PSC에 특이적이지 않다.[48] 다만, 자가면역 간염을 동반한 PSC 환자(PSC-AIH 중복 증후군) 식별에 도움이 될 수 있다.[3]
  • IgG4, sIL-2R: IgG4 관련 경화성 담관염과의 감별 진단을 위해 측정할 수 있다.


이 외에도 전체 혈액 검사, 신장 기능 검사, 전해질 검사 등을 시행하며, 지방 흡수 장애가 의심될 경우 분변 검사를 하기도 한다.

'''감별 진단'''

PSC 진단 시에는 증상이 유사한 다른 질환들을 배제해야 한다. 감별해야 할 주요 질환은 다음과 같다.

  • 원발성 담즙성 담관염(Primary Biliary Cholangitis, PBC, 과거 원발성 담즙성 간경변증으로 불림)
  • 약물 유발성 담즙 정체
  • 담관암(Cholangiocarcinoma)
  • IgG4 관련 질환
  • 간 이식 후 발생하는 비문합부 담도 협착[23]
  • HIV 관련 담관병증[24]


특히 원발 경화 쓸개관염과 원발성 담즙성 담관염은 간 내 손상 부위, 염증성 장질환과의 연관성, 치료 반응, 질병 진행 위험 등에서 차이가 있는 별개의 질환이다.[25]

6. 분류

원발 경화 쓸개관염은 작거나 큰 담관이 영향을 받는지 여부에 따라 일반적으로 세 가지 하위 그룹으로 분류된다.[1] PSC의 하위 그룹은 다음과 같다.


  • 전형적인 PSC
  • 소관 PSC
  • 자가면역 간염과 관련된 PSC

7. 관련 질환

원발 경화 쓸개관염(PSC)은 여러 다른 질환과 연관되어 나타날 수 있다.
암 질환PSC는 쓸개관암(담관암)의 주요 위험 요인 중 하나로,[40] PSC 환자의 평생 쓸개관암 발병 위험은 10~15%에 달하며,[6] 이는 일반 인구보다 400배 높은 수치이다.[1] PSC 관련 암 합병증은 PSC 환자 사망 원인의 40%를 차지하며 예후가 좋지 않은 경우가 많다.[2] 따라서 PSC 환자에게 쓸개관암 검사가 권장되지만, 일부 전문가들은 특수 영상 검사 및 혈청 표지자를 이용한 연간 감시를 권장하는 반면,[41] 구체적인 검사 방법이나 간격에 대해서는 아직 일반적인 합의가 이루어지지 않았다.

대장암 발병 위험 또한 일반 인구보다 10배 높기 때문에,[1] PSC 진단 시 대장내시경 검사가 권장된다.[1]
염증성 장질환 (IBD)PSC는 염증성 장질환, 특히 궤양성 대장염(UC)과 강한 연관성을 보인다.[19] 크론병과도 관련이 있지만, 궤양성 대장염만큼 심하지는 않다. 전체 염증성 장질환 환자의 약 5%가 PSC를 함께 진단받으며,[42] 반대로 PSC 환자의 약 70%가 염증성 장질환(주로 궤양성 대장염)을 앓고 있다.[19] 특히 대장염이 동반될 경우, 간 질환의 진행 속도가 빨라지거나 쓸개관암 발병 위험이 높아질 수 있다는 가능성이 제기되지만, 명확한 인과관계는 아직 잘 알려져 있지 않다.[43] 따라서 PSC 환자는 면밀한 관찰이 필수적이다.
담낭 질환담석이나 담낭 폴립과 같은 담낭 질환도 PSC 환자에게 흔하게 나타난다.[1] PSC 환자의 약 25%가 담석을 가지고 있는 것으로 알려져 있다.[1] 이 때문에 PSC 환자는 매년 담낭 초음파 검사를 받는 것이 권장된다.[1] 만약 담낭에서 종괴(덩어리)가 발견될 경우, 쓸개관암 발병 위험이 높으므로 담낭 수술적 제거가 필요할 수 있다.[1]
기타 질환이 외에도 골다공증(간성 골이영양증)이나 갑상선 기능 저하증이 PSC와 관련될 수 있다. 최근에는 IgG4 관련 전신성 경화성 질환의 일종인 자가면역성 췌장염과의 관련성도 제기되고 있다.

8. 치료

현재 원발 경화 쓸개관염(PSC)에 대해 미국 식품의약국(FDA)에서 승인한 약물 치료법은 없다.[8]

일부 전문가들은 우루소데옥시콜산(UDCA) 사용을 권장하기도 한다. UDCA는 사람에게 자연적으로 소량 존재하는 담즙산 성분으로, PSC 환자의 상승된 간 효소 수치를 낮추는 효과가 확인되었고 다른 담즙 정체성 간 질환에서도 효과가 입증되었기 때문이다.[51][8] 그러나 UDCA가 간 조직 상태를 개선하거나 전반적인 생존율을 높이는지에 대해서는 명확하게 밝혀지지 않았다.[51][8][26] 이 때문에 학회별로 UDCA 사용에 대한 입장이 다른데, 미국 간학회 및 미국 소화기학회 가이드라인은 UDCA 사용을 지지하지 않지만, 유럽 간학회 가이드라인은 중간 용량(체중 1kg당 13mg~15mg)의 UDCA 사용을 권장한다.[1][27][28][29]

PSC 증상 완화를 위한 보조 치료가 중요하다. 가려움증 완화를 위해 콜레스티라민과 같은 담즙산 결합제가 사용되고, 상행성 담관염과 같은 감염 치료를 위해 항생제가 사용된다. 또한 PSC 환자는 지용성 비타민(A, D, E, K) 흡수에 어려움을 겪는 경우가 많아 비타민 보충제를 복용하기도 한다.[30]

페니실라민, 아자티오프린, 스테로이드, 메토트렉세이트 등의 약물도 사용될 수 있으나, 효과가 없을 경우 수술적 치료를 고려한다. 협착된 담관 부위를 절제하거나 담관공장문합술을 시행할 수 있다.

간이식은 PSC의 유일하게 입증된 장기 치료법이다.[48][11] 간 기능 부전으로 진행되거나 다음과 같은 상황에서는 간이식을 고려한다.[48][11]


  • 재발성 세균성 상행성 담관염
  • 약물 치료에 반응하지 않는 황달
  • 대상부전 간경변
  • 문맥압항진증의 합병증
  • 간세포암종


간이식 후 1년, 2년, 5년 생존율은 각각 90%, 86%, 85% 정도로 보고된다.[48] 그러나 모든 환자가 간이식 대상이 되는 것은 아니며, 일부 환자는 이식 후에도 질병이 재발하기도 한다.[11] 재발 원인은 아직 명확히 밝혀지지 않았다.[32]

한편, 내시경 역행 쓸개췌장 조영술(ERCP) 및 관련 특수 기술은 양성 PSC 협착과 담관암을 구별하는 진단 과정에서도 활용될 수 있다.[31]

9. 예후

2007년 독일 연구에 따르면, 진단 시점부터 평균 생존 기간은 25년이며, 사망 또는 간 이식까지는 평균 10년이 걸린다.[52] 진단 후 간 이식 또는 원발 경화 쓸개관염(PSC) 관련 사망까지의 추정 중간 생존 기간은 21.3년이다.[33] 생존율 예측을 돕기 위해 다양한 모델이 개발되었지만,[34] 일반적으로 연구 목적으로 더 적합하며 임상 현장에서 직접 사용하기에는 한계가 있다. 혈청 알칼리 인산분해효소 수치가 정상 상한치의 1.5배 미만일 경우 예후가 더 좋다는 보고가 있으나, 장기적인 결과를 예측하는 데 명확히 사용될 수 있는지는 불분명하다.[1] 췌장의 GP2 단백질에 대한 IgA 형태의 자가항체(항-GP2 IgA 항체)는 PSC에서 처음으로 확인된 예후 예측 인자이다.[35] 항-GP2 IgA의 역할은 두 연구 그룹에 의해 동시에 연구 및 보고되었으며,[36][37] 이후 다른 연구자들에 의해서도 확인되었다.[38][39] 항-GP2 IgA는 진행성 간 섬유증, 담관암 발병, 그리고 PSC 환자의 이식 후 생존 기간 단축과 관련이 있는 것으로 나타났다.[35]

이 외에도 전혈구 계산, 혈청 간 효소, 빌리루빈 수치(일반적으로 눈에 띄게 증가), 신장 기능 및 전해질 수치 등을 측정하고 모니터링할 수 있다. 흡수 불량 증상(예: 심한 지방변)이 뚜렷할 때는 대변 지방 측정을 하기도 한다.

10. 역학

원발 경화 쓸개관염은 남성이 여성보다 2배 더 많이 발병하는 경향을 보인다.[50] 주로 20~30대에 발병하지만, 드물게 유년기에 발병할 수도 있으며, 특히 40대 남성에서 발병률이 높다는 보고도 있다. 이 질환은 서서히 진행되기 때문에, 증상이 나타나거나 진단되기 오래전에 이미 병이 활성 상태일 수 있다.

원발 경화 쓸개관염의 발병률에 대한 연구 결과는 다양하게 나타나는데, 인구 10만 명당 0.068명에서 1.3명 사이, 또는 0.22명에서 8.5명 사이로 보고되었다. 특히 궤양성 대장염과 밀접한 관련이 있어, 궤양성 대장염 환자는 일반인보다 원발 경화 쓸개관염 발병 가능성이 높다. 서구권에서는 원발 경화 쓸개관염 환자의 약 절반이 궤양성 대장염을 동반하는 것으로 알려져 있다.

최근에는 면역글로불린 G의 한 종류인 IgG4와 관련된 전신성 경화성 질환, 특히 자가면역성 췌장염과의 연관성도 주목받고 있다.

11. 연구 현황

원발 경화 쓸개관염의 근본적인 치료법은 아직 알려져 있지 않다. 하지만 이 간 질환의 진행을 늦추는 것을 목표로 하는 여러 임상 시험이 진행 중이다.[45] 오베티콜산은 항섬유화 효과 때문에 원발 경화 쓸개관염 치료제로 연구되고 있다. 또한 섬유화 효소인 LOXL2에 대한 단일클론 항체인 심투주맙 역시 원발 경화 쓸개관염 치료제로 개발되고 있다.[1]

12. 주목할 만한 사례


  • 크리스 클루그 - PSC를 앓았으며 간 이식을 받은 프로 스노보더[46]
  • 크리스 르두 - PSC를 앓았으며 담관암으로 사망한 프로 로데오 선수이자 컨트리 음악
  • 엘레나 발타차 - 19세에 PSC 진단을 받은 영국의 프로 테니스 선수로, PSC 관련 간암(특히 담관암) 진단을 받은 지 5개월 만에 30세의 나이로 사망
  • 월터 페이턴 - PSC 합병증으로 사망
  • 키어런 다이어 - 프로 축구 선수
  • 제임스 레드포드 - 로버트 레드포드의 아들이자 감독으로, PSC로 인해 두 번의 간 이식을 받음[47]
  • 라르스-괴란 페트로프 - 엔톰드에서 활동한 것으로 가장 잘 알려진 스웨덴 데스 메탈 보컬리스트

참조

[1] Review Primary Sclerosing Cholangitis 2016-09
[2] 논문 Cancer Risk and Surveillance in Primary Sclerosing Cholangitis 2016-02
[3] 논문 Primary sclerosing cholangitis: diagnosis and management 2006-02
[4] 서적 Sleisenger and Fordtran's gastrointestinal and liver disease: pathophysiology, diagnosis, management Saunders
[5] 논문 Epidemiology and outcomes of primary sclerosing cholangitis: an Australian multicentre retrospective cohort study 2022-06
[6] 논문 Liver abnormalities in bowel diseases 2013-08
[7] 논문 Primary sclerosing cholangitis: a clinical update 2015-06
[8] 논문 Ursodeoxycholic acid in primary sclerosing cholangitis: if withdrawal is bad, then administration is good (right?) 2014-09
[9] 논문 Weekend Admission for Acute Cholangitis Does Not Adversely Impact Clinical or Endoscopic Outcomes 2016-01
[10] 논문 A novel, minimally invasive technique for management of peristomal varices 2016-04
[11] 논문 Primary sclerosing cholangitis: a review and update on therapeutic developments 2013-02
[12] 논문 The dynamic biliary epithelia: molecules, pathways, and disease 2013-03
[13] 논문 Primary sclerosing cholangitis and the microbiota: current knowledge and perspectives on etiopathogenesis and emerging therapies 2014-08
[14] 논문 Microbiome-Immune Interactions and Liver Disease 2015-04
[15] 논문 The enteric microbiome in hepatobiliary health and disease 2016-04
[16] 논문 Cholangiocyte senescence by way of N-ras activation is a characteristic of primary sclerosing cholangitis 2014-06
[17] 논문 Characterization of cultured cholangiocytes isolated from livers of patients with primary sclerosing cholangitis 2014-10
[18] 논문 Primary sclerosing cholangitis 2013-11
[19] 서적 Robbins basic pathology Saunders
[20] 논문 An update on treatment options for primary sclerosing cholangitis 2020
[21] 논문 Micro-computed tomography and nuclear magnetic resonance imaging for noninvasive, live-mouse cholangiography 2013-06
[22] 논문 Association between serum IgE level and adverse clinical endpoints in primary sclerosing cholangitis
[23] 논문 Endoscopic treatment with multiple stents for post-liver-transplantation nonanastomotic biliary strictures 2009-06
[24] 논문 The Cholangiopathies 2015-06
[25] 논문 Risk stratification in autoimmune cholestatic liver diseases: Opportunities for clinicians and trialists 2016-02
[26] 논문 High-dose ursodeoxycholic acid for the treatment of primary sclerosing cholangitis 2009-09
[27] 논문 Diagnosis and management of primary sclerosing cholangitis 2010-02
[28] 논문 ACG Clinical Guideline: Primary Sclerosing Cholangitis 2015-05
[29] 논문 EASL Clinical Practice Guidelines: management of cholestatic liver diseases 2009-08
[30] 논문 EASL Clinical Practice Guidelines: management of cholestatic liver diseases 2009-08
[31] 논문 Advanced endoscopic imaging of indeterminate biliary strictures 2015-12
[32] 논문 Recurrence of primary sclerosing cholangitis after liver transplantation is associated with specific changes in the gut microbiome pretransplant - a pilot study 2020-11
[33] 논문 Population-based epidemiology, malignancy risk, and outcome of primary sclerosing cholangitis 2013-12
[34] 논문 Serological biomarkers for management of primary sclerosing cholangitis 2022-06
[35] 논문 Editorial: serologic antibodies in primary sclerosing cholangitis - a tell-tale sign of compromised gut-liver immunity? 2021-01
[36] 논문 Anti-GP2 IgA autoantibodies are associated with poor survival and cholangiocarcinoma in primary sclerosing cholangitis 2017-01
[37] 논문 Loss of tolerance to gut immunity protein, glycoprotein 2 (GP2) is associated with progressive disease course in primary sclerosing cholangitis 2018-01
[38] 논문 Mucosal Autoimmunity to Cell-Bound GP2 Isoforms Is a Sensitive Marker in PSC and Associated With the Clinical Phenotype 2018
[39] 논문 Anti-glycoprotein 2 (anti-GP2) IgA and anti-neutrophil cytoplasmic antibodies to serine proteinase 3 (PR3-ANCA): antibodies to predict severe disease, poor survival and cholangiocarcinoma in primary sclerosing cholangitis 2021-01
[40] 논문 Update on inflammatory bowel disease in patients with primary sclerosing cholangitis 2014-04
[41] 논문 Challenges of Cholangiocarcinoma Detection in Patients with Primary Sclerosing Cholangitis 2012
[42] 논문 Prevalence of primary sclerosing cholangitis in patients with ulcerative colitis 1991-05
[43] 논문 Population-based epidemiology, malignancy risk, and outcome of primary sclerosing cholangitis 2013-12
[44] 논문 Epidemiology of autoimmune liver disease 2003-10
[45] 논문 Treatment of autoimmune liver disease: current and future therapeutic options 2013-05
[46] Sports-Reference Chris Klug Olympic Results https://www.sports-r[...]
[47] 뉴스 James Redford, Documentarian and Environmentalist, Dies at 58 https://www.nytimes.[...] 2022-09-15
[48] 저널 Primary sclerosing cholangitis: diagnosis and management
[49] 서적 Sleisenger and Fordtran's gastrointestinal and liver disease: pathophysiology, diagnosis, management Saunders
[50] 서적 Robbins basic pathology Saunders
[51] 저널 High-dose ursodeoxycholic acid for the treatment of primary sclerosing cholangitis.
[52] 저널 Characterization, outcome, and prognosis in 273 patients with primary sclerosing cholangitis: A single center study http://www.medscape.[...] 2007-01



본 사이트는 AI가 위키백과와 뉴스 기사,정부 간행물,학술 논문등을 바탕으로 정보를 가공하여 제공하는 백과사전형 서비스입니다.
모든 문서는 AI에 의해 자동 생성되며, CC BY-SA 4.0 라이선스에 따라 이용할 수 있습니다.
하지만, 위키백과나 뉴스 기사 자체에 오류, 부정확한 정보, 또는 가짜 뉴스가 포함될 수 있으며, AI는 이러한 내용을 완벽하게 걸러내지 못할 수 있습니다.
따라서 제공되는 정보에 일부 오류나 편향이 있을 수 있으므로, 중요한 정보는 반드시 다른 출처를 통해 교차 검증하시기 바랍니다.

문의하기 : help@durumis.com